Skip to main content

DentoFacial Aesthetics

Anti-Wrinkle Treatments

Your smile is about more than just your teeth and gums. While brightening your teeth with veneers or tooth whitening can give you brighter, healthier-looking teeth, they can’t do anything for the wrinkles around your mouth – or the appearance of your lips. Our anti-wrinkles and dermal fillers can give you a rejuvenated appearance.

Rejuvenate and Refresh Your Smile

Now you can brighten your teeth and face with Wrinkle Treatments and Cosmetic Dentistry.

Wrinkles form from overactive muscles, or loss of collagen.

As we age, our skin loses elasticity, volume and structural support; this is due, in part, to bone atrophy that leads to shortened lower face and sagging skin. This then leads to the formation of deep lines, grooves and folds – especially around the mouth. These wrinkles can dramatically age your beautiful smile, and your overall appearance.

At justSMILE, located in Ramsgate near Kogarah and Rockdale in South Sydney, we can use a combination of non-surgical anti-wrinkle injections and dermal fillers to create a beautifully rejuvenated face that enhances your smile.

The results from this treatment generally appear after 3-5 days, and last for more than 3-4 months in most cases. Anti-wrinkle injections have been used for over 20 years.

Non-Surgical Wrinkle Treatments

Learn more about the types of wrinkle and filler injections we offer.

triangle
Wrinkle Injections

Anti-wrinkle injections treat wrinkles and lines caused by overactive muscles. This kind of wrinkle generally forms on the top section of your face, from your hair line to below your eyes. These wrinkles can be treated with an injectable muscle relaxant. The results from this non-surgical treatment generally appear after 3-5 days and in most cases last for 3-4 months.


Dermal Fillers:

Dermal fillers treat wrinkles and lines that are caused by loss of collagen. This kind of wrinkle is mostly found on the bottom part of your face, from below your eyes to underneath your chin. Dermal fillers are used to “plump” areas of the face that have lost natural collagen deposits. This treatment is made from hyaluronic acids, which is a naturally occurring substance found in the body. Dermal fillers are hypo-allergenic and are naturally broken down by the body over time. At our dental practice located in Ramsgate near Kogarah and Rockdale in Sydney, our team take every precaution to ensure that your treatment is as comfortable as possible.

Welcoming New Patients

If you are looking for a caring, intimate dental practice that is committed to meeting your needs with excellence, you’ll love justSMILE! Our team is dedicated to helping you smile with confidence.

See Our Special Offers On

As part of our monthly new patient promotions, we offer special discounts on many of our popular services, including Invisalign, through Smile Deals®

Smile Gallery

Our Results

* Results may vary from person to person. Any surgical or invasive procedure carries risk. Before proceeding, you should seek a second opinion from an appropriately qualified health practitioner.
gallery by SmileDocs®
< go back
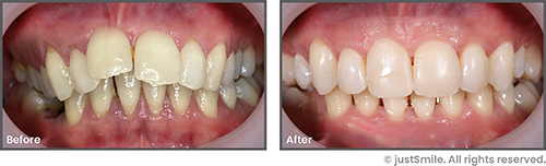
  • Broken and Chipped Teeth Resolved With Porcelain Veneers & Crowns
    Concerns
    Broken and chipped teeth, patient reluctant to smile. Diana wanted a smile that she can “proudly” show off
    Solutions*
    20 hand crafted “Digital Smile Design” Crowns and Veneers, these are multi-layered with translucent effect to give us a life like natural look.
    Case Photos
    *Results may vary from person to person. Any surgical or invasive procedure carries risk. Before proceeding, you should seek a second opinion from an appropriately qualified health practitioner.
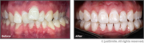
  • Misaligned Front Teeth Solved with Invisalign
    Concerns
    Extreme misalignment of all front teeth with the left tooth completely hidden from view.
    Solutions
    Invisalign treatment for one year followed by ZOOM whitening and cosmetic bonding and re-shaping.
    Case Photos
    Invisalign *Results may vary from person to person. Any surgical or invasive procedure carries risk. Before proceeding, you should seek a second opinion from an appropriately qualified health practitioner.
  • Gum Disease and Pain Solved with DSD and Dental Implants
    Concerns
    Long term gum disease with upper teeth, patient living with chronic infection and pain. Not comfortable eating and socialising.
    Solutions
    Full extraction of all infected top teeth with immediate implant placement and temporaries with final Digital Smile Designed Zirconia teeth.
    Case Photos
    Invisalign *Results may vary from person to person. Any surgical or invasive procedure carries risk. Before proceeding, you should seek a second opinion from an appropriately qualified health practitioner.
  • Misaligned and Overlapped Teeth Solved with Invisalign
    Concerns
    Misaligned and overlapped top front teeth.
    Solutions
    Invisalign treatment for 7 months followed by ZOOM whitening and contouring and re-shaping
    Case Photos
    Invisalign *Results may vary from person to person. Any surgical or invasive procedure carries risk. Before proceeding, you should seek a second opinion from an appropriately qualified health practitioner.
  • Misaligned Protruding Teeth Solved with Invisalign
    Concerns
    Misaligned and protruded top front teeth, Lina loves to smile but don't want to show her teeth.
    Solutions
    Invisalign for one year with ZOOM whitening, contouring and re-shaping.
    Case Photos
    Invisalign *Results may vary from person to person. Any surgical or invasive procedure carries risk. Before proceeding, you should seek a second opinion from an appropriately qualified health practitioner.
  • Open Bite Solved with Invisalign
    Concerns
    Peyton finished his braces with an open bite and was told that it could not be closed.
    Solutions
    Invisalign treatment for one year followed by ZOOM whitening.
    Case Photos
    Invisalign *Results may vary from person to person. Any surgical or invasive procedure carries risk. Before proceeding, you should seek a second opinion from an appropriately qualified health practitioner.
  • Misaligned Teeth Solved with Invisalign
    Concerns
    Miss-aligned top teeth and short central front tooth.
    Solutions
    Invisalign treatment for 7 months followed by ZOOM whitening and teeth contouring and reshaping with cosmetic bonding.
    Case Photos
    Invisalign *Results may vary from person to person. Any surgical or invasive procedure carries risk. Before proceeding, you should seek a second opinion from an appropriately qualified health practitioner.  
  • Front Teeth Position Solved with Invisalign
    Concerns
    Leroy was unhappy with the position of his top front teeth, he didn't like his smile and avoided showing teeth when smiling.
    Solutions
    Invisalign treatment for one year with teeth contouring, reshaping and ZOOM whitening.
    Case Photos
    Invisalign *Results may vary from person to person. Any surgical or invasive procedure carries risk. Before proceeding, you should seek a second opinion from an appropriately qualified health practitioner.
  • Misaligned Top Front Teeth Solved with Invisalign
    Concerns
    Misaligned top front teeth, Jessica was very self aware and avoiding showing teeth when smiling.
    Solutions
    Invisalign treatment for seven months with ZOOM whitening and contouring and re-shaping.
    Case Photos
    Invisalign *Results may vary from person to person. Any surgical or invasive procedure carries risk. Before proceeding, you should seek a second opinion from an appropriately qualified health practitioner.
  • Crooked and Dull Smile Solved with Veneers & Whitening
    Concerns
    Grace had missing lateral incisors with the canines orthodontically moved to cover the gap, she also had chipped teeth with crocked smile line.
    Solutions
    ZOOM whitening, 8 porcelain veneers hand crafted and multilayered with translucent edge effect for a natural look using Digital Smile Design.
    Case Photos
    *Results may vary from person to person. Any surgical or invasive procedure carries risk. Before proceeding, you should seek a second opinion from an appropriately qualified health practitioner.
  • Misaligned Teeth Solved with Invisalign
    Concerns
    Peg shaped front teeth and miss-alignment, Cameron wanted to change his smile.
    Solutions
    Invisalign for seven months followed by ZOOM whitening and two immediate crowns.
    Case Photos
    Invisalign *Results may vary from person to person. Any surgical or invasive procedure carries risk. Before proceeding, you should seek a second opinion from an appropriately qualified health practitioner.
  • Gaps Between Front Teeth Solved with Invisalign
    Concerns
    Gaps between the front teeth with miss-alignment.
    Solutions
    Invisalign treatment for seven months and ZOOM whitening.
    Case Photos
    Invisalign *Results may vary from person to person. Any surgical or invasive procedure carries risk. Before proceeding, you should seek a second opinion from an appropriately qualified health practitioner.
  • Narrow Smile and Overlapped Teeth Solved with Invisalign
    Concerns
    Narrow smile with overlapped top front teeth.
    Solutions
    Invisalign for seven months with ZOOM whitening.
    Case Photos
    Invisalign *Results may vary from person to person. Any surgical or invasive procedure carries risk. Before proceeding, you should seek a second opinion from an appropriately qualified health practitioner.
  • Open Bite Solved with Invisalign
    Concerns
    Open bite after orthodontic treatment.
    Solutions
    Invisalign treatment for one year with ZOOM whitening.
    Case Photos
    Invisalign *Results may vary from person to person. Any surgical or invasive procedure carries risk. Before proceeding, you should seek a second opinion from an appropriately qualified health practitioner.  
  • Deep Stained and Chipped Teeth Corrected with Porcelain Veneers
    Concerns
    Highly stained crooked and chipped teeth, patient learned to smile all her life without showing teeth, Lynda wanted straight white teeth to smile with confidence.
    Solutions*
    Lynda decided that Invisalign isn’t for her so we went ahead with 10 Porcelain Veneers using Digital Smile Design. These veneers were hand crafted, multilayered with translucent edge effect for a natural look.
    Case Photos
    *Results may vary from person to person. Any surgical or invasive procedure carries risk. Before proceeding, you should seek a second opinion from an appropriately qualified health practitioner.
  • Narrow Smile and Overlapped Teeth Solved with Invisalign
    Concerns
    Narrow smile with overlapped front teeth and highly positioned top left canine.
    Solutions
    Invisalign treatment for one year followed by ZOOM whitening with contouring and re-shaping.
    Case Photos
    Invisalign *Results may vary from person to person. Any surgical or invasive procedure carries risk. Before proceeding, you should seek a second opinion from an appropriately qualified health practitioner.
  • Gummy Smile Solved with a Laser Gum Lift
    Concerns
    Mikayla wasn’t happy about the colour and shape of her teeth.
    Solutions
    Laser gum lift to improve the gummy smile, then ZOOM whitening. BTX injection to even the excessive lifting of the smile on the right side. Finally we created a digital smile design and 10 hand crafted porcelain veneers.
    Case Photos
    *Results may vary from person to person. Any surgical or invasive procedure carries risk. Before proceeding, you should seek a second opinion from an appropriately qualified health practitioner.
  • Chipped, Stained and Misshapen Teeth Solved with Porcelain Veneers
    Concerns
    Ramko was very conscious about his front teeth and would not fully smile.
    Solutions
    Digital Smile Design (DSD) to recreate the correct shape, style and colour this was followed by a combination of 10 hand crafted porcelain veneers and implant crowns.
    Case Photos
    Porcelain Veneers *Results may vary from person to person. Any surgical or invasive procedure carries risk. Before proceeding, you should seek a second opinion from an appropriately qualified health practitioner.
  • Gaps Between Front Teeth Resolved With White Porcelain Veneers
    Concerns
    Isabella told that she was very conscious about her smile, she didn’t like the gaps between the front teeth and the chipping of the edges. she wanted a whiter smile.
    Solutions*
    10 Porcelain Veneers using Digital Smile Design.
    Case Photos
    *Results may vary from person to person. Any surgical or invasive procedure carries risk. Before proceeding, you should seek a second opinion from an appropriately qualified health practitioner.
Real Results
  • Gaps Between Front Teeth
Why Choose Us
  • Highly skilled and well respected clinicians.

  • Recommended by the community, we have over 200 Five (5) Star Google reviews from happy patients.

  • Provide excellence in general dental care and cosmetic dentistry.
  • Emphasis on prevention to help you to keep your teeth for as long as possible.
  • Listen to your concerns and address them to the best of our ability.
  • Safe and clean environment.
  • Interest free financing available for all dental work

Finance Plans We Accept
    Book Now
    To book an appointment, fill in the form and our team will respond.
    You must agree to the Terms of Use
    Powered by EZMarketer™
    Need Help? Text Us.
    Enter your details and message then check your phone to chat with us by text.
    By submitting, you authorize our practice to send email/text messages to the provided channels. Message/data rates may apply.
    Powered by EZMarketer™
    Terms & Conditions
    Free Smile Assessment Offer:
    1. Must be over 18 years of age
    2. Free Smile Assessment consultation must be face to face
    3. Includes : Smile analysis, Facial lines and asymmetries, Teeth size, shape and position analysis, Teeth color recording, Jaw analysis, General tooth and gum health assessment and advise on the suitability for Invisalign or other Smile Make-Over procedures and recommendations.
    4. Does not include a full examination, x-rays or a scale and polish.
    5. Free Smile Assessment offer can be used in conjunction with other offers such as Whitening, Check up and Polish, and Invisalign offers.

    Any surgical or invasive procedure carries risk. Before proceeding, you should seek a second opinion from an appropriately qualified health practitioner. This offer may change without notice.

    Smile Deals® Offer Details

    These Smile Deals® Offers presented by Dr. Rammo and justSMILE are valid as stated on the page these offers were found. These offers may change without notice.

    Smile Assessment & Consultation Offer

    • The Smile Assessment & Consultation includes smile analysis, facial lines and asymmetries, teeth size, shape and position analysis, teeth colour recording, jaw analysis, general tooth and gum health assessment and advice on the suitability for orthodontics (e.g. Invisalign), general or cosmetic dentistry service.
    • The Smile Assessment & Consultation does not include an examination or x-rays.
    • This offer can be used in conjunction with other offers, including Invisalign Clear Aligner, Teeth Whitening or Check Up & Clean offer.

    $199 Check Up & Clean Offer

    • The $199 Check Up & Clean offer includes a full examination and charting including periodontal or gum assessment with treatment recommendations and oral hygiene advice, jaw joint assessment, smile assessment, oral cancer screen, diet analysis and advice, two (2) intra-oral bitewing x-rays, scale and polish.
    • In order to provide you with the best of care and assessment, additional records may be required by the dentist at this examination appointment. Additional records may include clinical intraoral and extraoral photographs , OPG radiograph, lateral cephalometric radiograph which are not included in this deal, and may be performed during the examination process at additional charge or at the dentist’s discretion for a rebate only fee if you have private health insurance that covers the additional items. Should you object to having additional records taken, please inform the front office coordinator at the time of booking your appointment.
    • A scale and clean is provided to you assuming that there is no active gum disease such as gingivitis and periodontitis. Scale and clean does not substitute for the need of gum treatment.
    • This offer can be used in conjunction with other offers, including the Free Smile Assessment, Invisalign Clear Aligner or Teeth Whitening offer.

    Invisalign Clear Aligners Offer

    • After your Free Smile Assessment & Consultation visit, if the doctor feels you are eligible for Invisalign Clear Aligners, you can receive the treatment for $6500 for a moderate case.
    • This Smile Deals® Offer does not include the price for retainers.
    • This offer includes all in-office follow up visits relating to your Invisalign Clear Aligners.
    • This offer can be used in conjunction with other offers, including the Free Smile Assessment, Teeth Whitening or Check Up & Clean offer.

    Teeth Whitening Offer

    • After your Free Smile Assessment & Consultation visit, if the doctor feels you are eligible for Teeth Whitening, you can receive the Whitening service for $599. 
    • This offer can be used in conjunction with other offers, including the Free Smile Assessment, Invisalign Clear Aligner or Check Up & Clean offer.

    How to Redeem These Offers

    To claim any of these Smile Deals® Offers:

    1. Book an appointment.
    2. Mention the relevant Smile Deals Offer at the time of booking or treatment.
    3. Present the promotional Smile Deals® Offer voucher or QR Code (if provided) at reception.

    Offer Restrictions

    The following restrictions apply to the eligibility and use of all Smile Deals® Offers:

    • You must be a new or existing patient of  Dr. Rammo or justSMILE.
    • You must be 18 years or older at the time of receiving the dental treatments or if a minor, accompanied by a parent or legal guardian.
    • Except where expressly stated above, only one Smile Deals® Offer can be redeemed per person.
    • Except where expressly stated above, the Smile Deals® Offers cannot be used in conjunction with any other offers.
    • The Smile Deals® Offers are not redeemable for cash and cannot be transferred.
    • The Smile Deals® Offers are subject to appointment availability.
    • All treatments are subject to the dentist’s clinical assessment of suitability for you.

    *Offers may not be suitable for all patients. Always consider your financial situation before committing to an offer or payment plan. Any surgical or invasive procedure carries risk. Before proceeding, you should seek a second opinion from a qualified health practitioner.